We offer specialized dental care with up to date procedures and high quality materials.
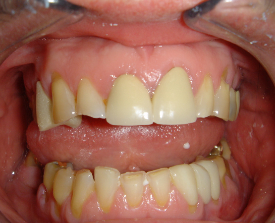
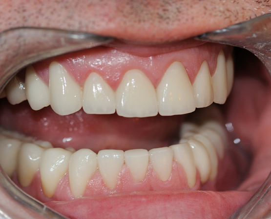
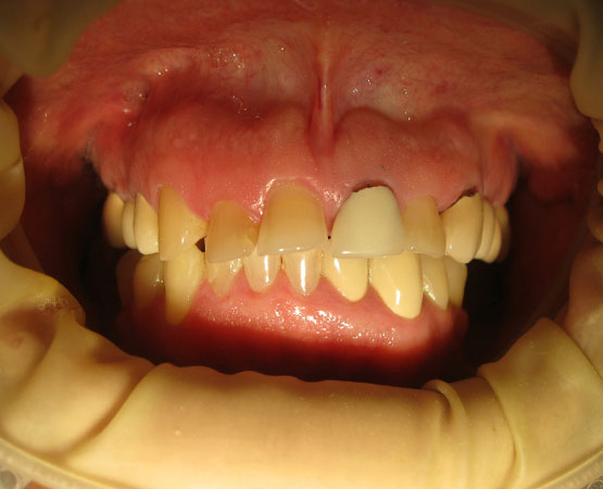
Zirconia Crowns (Full Restoration)
Mike D, Age: 52, San Diego, USA.
Before

After

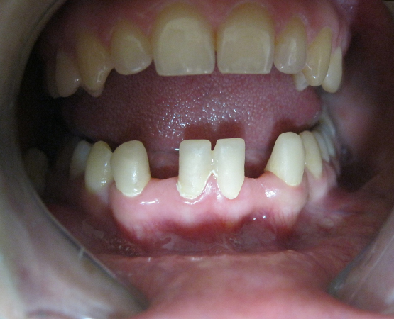
Crown Restoration
Alma C, Age: 54, San Bernardino, USA.
Before

After

Other services: Dental Diagnostics – Teeth whitening – Dental posts – Occlusal guards – Dental Cleanings – Dental Extractions.
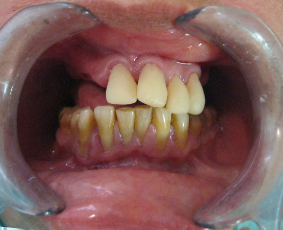
Zirconia Crowns
Mr. Kasla, Age: 57, Escondido, USA.
Before

After

Replacement of lower lateral incisors with full zirconia bridges
Josefina F, Age: 32, Los Angeles, USA.
Before

After

Zirconia crowns restoration and upper-lower Megaflex bridge
Maria R, Age: 52, Chula Vista, USA.
Before

After

Zirconia crowns restoration (Upper teeth)
Manuel L, Age: 64, Tijuana, México.
Before

After

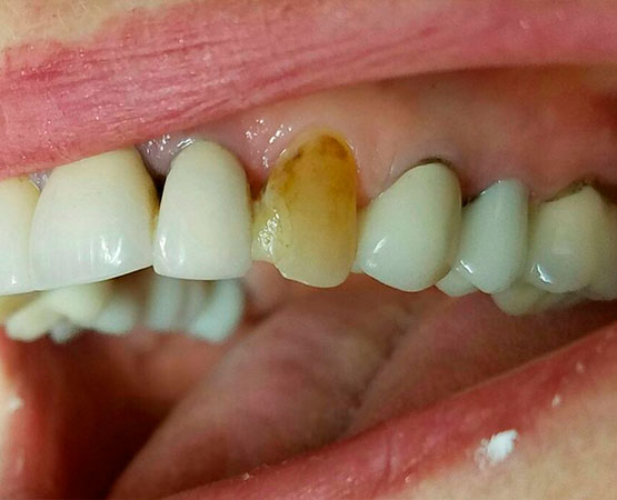
Chipped tooth restoration
Adolfo M, Age: 38, San Diego, USA.
Before

After

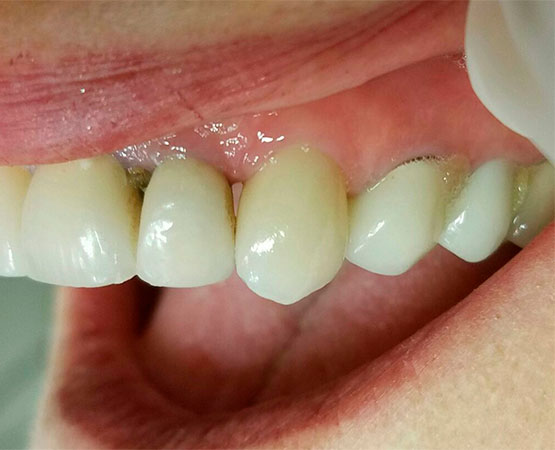
Dental Post
Roberto M, Age: 35, Tijuana, México
Before

After

Zirconia Dental Bridge
Roberto P, Age: 62, Tijuana, México.
Before

After

Dental Implant
Carlos R, Age: 40, Los Ageles
Before

After

Partial Denture Megaflex
Javier D, Age: 35, Valley Center, USA.
Before

After

Zirconia crown
Annie F.
Before

After

Sitio en Español